Image

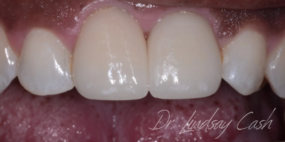
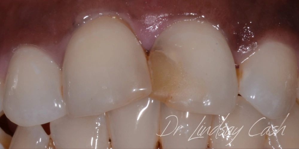
Smile Makeovers

Our skilled cosmetic dentists create a personalized smile makeover for you, utilizing advanced technology to achieve beautiful results.
(864) 774-1635
Image

CONTACT US NOW FOR AN APPOINTMENT