Book Online
Teeth Whitening
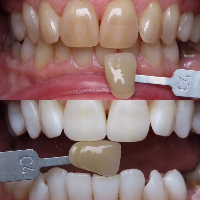
Brighten Your Smile with Professional Teeth Whitening
Unlock a dazzling smile with our advanced teeth whitening treatments at Pearl Dental Studio. Our professional-grade whitening systems are designed to effectively and safely enhance your smile's brightness, ensuring noticeable results that last. Say goodbye to stains and discoloration caused by coffee, tea, or smoking, and embrace a whiter, more confident smile.
At our dental practice, we understand that over-the-counter options can be tempting, however our in-office whitening treatments provide superior results with minimal sensitivity. Our cosmetic dentist in Simpsonville, SC, uses high-concentration whitening agents tailored to your needs, achieving the best possible outcome in a comfortable and controlled environment. Trust us to help you achieve a radiant smile that boosts your confidence and leaves a lasting impression.

Get A Beautiful And Radiant Smile with Tailored Teeth Whitening Solutions
Teeth whitening in Pearl Dental Studio, is a non-invasive procedure that enhances the appearance of stained or darkened teeth by using a higher concentration of whitening agents for optimal results. Dr. Cash and our team offer the safest and most effective teeth whitening systems compared to over-the-counter options.
At our dental office, we provide two professional teeth whitening options: an in-office procedure that can brighten your smile by several shades in just one hour, and a professional take-home system that delivers gradual results. Both options utilize professional-strength whitening systems and can be used alone or as a follow-up to an in-office treatment to perfect or maintain your glowing results.
- In-office teeth whitening: A one-hour process that makes your smile several shades whiter and brighter.
- Professional take-home whitening system: A gradual process that yields excellent results, either on its own or as a follow-up to in-office treatment to maintain your results.
KöR® Teeth Whitening In Simpsonville, SC
Pearl Dental Studio is dedicated to boosting our patients' confidence in their smiles. To achieve this, Dr. Cash offer the KöR Teeth Whitening System, which effectively removes deep-rooted stains and combats tetracycline-induced discoloration. Dr. Cash will select the appropriate level of whitening based on each patient's needs.
The KöR system combines in-office treatments with at-home whitening trays, providing long-lasting results with occasional maintenance. Unlike traditional whitening treatments, KöR reduces tooth sensitivity and discomfort, making the process much more comfortable. With KöR, you can enjoy a brighter, stain-free smile without worrying about sensitivity, even if you frequently consume beverages like coffee, red wine, or tea.
Opalescence® Teeth Whitening
At Pearl Dental Studio, we strive to help you achieve your best smile. Dr. Cash offer Ultradent's Opalescence Take-Home Whitening Kits for those seeking a brighter smile in the comfort of their home.
Based on your desired results and oral health, Dr. Cash will recommend the most suitable formula, with concentrations ranging from 10% to 35%. The Opalescence whitening gel is generally safe and well-tolerated, but candidates for this treatment should have intact teeth, good oral health, and not be pregnant.
Take-home whitening provides the convenience of brightening your smile from home, and with custom trays, you can maintain your results on your own schedule. Our team is always ready to refill your whitening gel order whenever needed!





